Dental Issues ?

Get your smart accurate
diagnosis with 3D scanning

Prevent.
Protect.
Preserve.


Redefining your
smile with
INVISALIGN


Dental Issues ?
Smart Diagnosis with 3D TECH
ENQUIRE NOW
Invisalign
Redefining your smile
Call us
0
+

Happy Clients

0
+

Dental Implants

0
+

Smile Makeovers

0
+

Years of Experience

Welcome to DENTAL EXPERTS

We are delighted that you are considering us for your dental care.

Dentistry is constantly evolving, and today patients value comfort, safety, and precision more than ever. At Dental Experts, led by Dr. Tarun Mittal (MDS, Periodontics & Implantologist), we bring together advanced technology and a compassionate approach to deliver modern, painless dentistry.

Located in South Delhi, our clinic focuses on Invisalign, dental implants, and smile designing, along with comprehensive treatments tailored to your individual needs. With over a decade of experience, Dr. Tarun combines professional expertise with a passion for innovation, ensuring every patient receives reliable, transparent, and high-quality care.

At Dental Experts, dentistry is more than treatment—it’s about creating confident, healthy smiles with a personal touch.

Dental Services

Get the smile you wanted with our proprietary non-invasive and safe teeth whitening procedure, in just one single visit.

We do dental implants only using FDA complaint reliable systems keeping patient’s comfort  the utmost priority.

Our clinic is known for  modern smile makeover treatments ranging from aligners to veneers and smile designing.

Keeping an eye on advancements, we have  experts for advanced treatments such as gum surgeries, operculum removal, restricted mouth opening etc.

We have an experienced team  trained to do all kinds of braces and aligners for smile correction.

Our consulting paediatric dentists help to resolve your kid’s dental problems in the most child- friendly way.

We use modern technology to perform RCTs in the most comfortable way and with minimum visits.

Using immediate implants, our implantologists can give you  a complete new set of teeth in a week!

Our consulting paediatric dentists help to resolve your kid’s dental problems in the most child- friendly way.

Know your diagnosis and treatment cost at the convenience of your home

Your safety

Yours and the staff’s safety is given prime importance at Dental Experts. We use industry’s best sterilisation and disinfection equipment and techniques.We strive to give you a comfortable and safe environment at our clinic.

BEST SAFETY PROTOCOLS

Taking care of your and our safety during treatment.

BEST STERILISATION METHODS

Use of industry’s best B Class autoclave to sterilise instruments.

IMPECCABLY CLEAN WORKING AREA

We take stringent measures to keep our working area spotless.

REGULAR DISINFECTION

We disinfect our waiting area and surroundings as per scientific convention.

APPROPRIATE HYGIENE

Our staff use a 12-steps hand washing technique, for utmost safety.

Why Choose DENTAL EXPERTS

SMART DIAGNOSIS

Complete diagnosis and treatment cost using 3D tech to facilitate comfort and transparency

WELL-TRAINED DOCTORS

Led by Dr Tarun Mittal, we have a team of experienced and specialised dentists, committed to provide the best treatment for you.

TRUST & TRANSPARENCY

We are dedicated to ending arbitrary charges at clinics. Hence we offer treatment charges before starting the treatment letting you choose what suits you best.

MODERN CLINIc OFFERING LATEST TECH

Our clinic is equipped with best in house dental equipments providing you with world class treatment experience

CARE & HYGIENE

Using B class autoclave to sterilise instruments and routine disinfection of every nook and corner keeping hygiene our no. 1 priority

LONG-TERM SUPPORT & RELATIONSHIP

We are devoted to providing not just treatments, but long term care. Hence we offer yearly free checkups for treatments availed at our clinic.

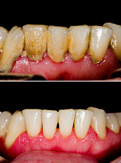
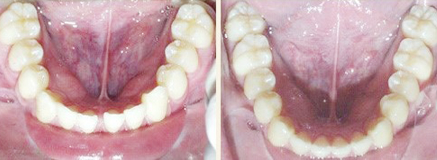
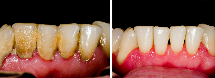
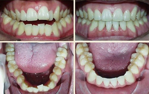
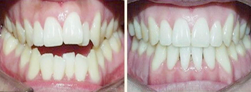
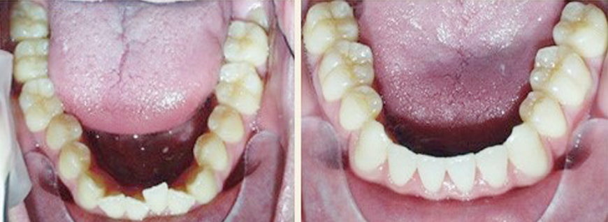
Before
&
After
Treatment

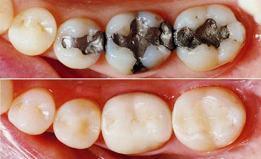
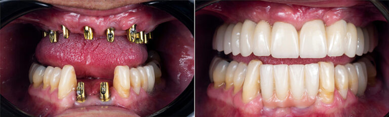
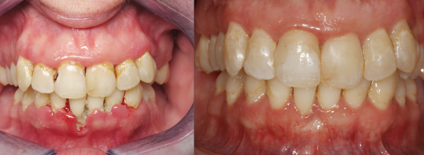
Before
&
After
Treatment

Time is precious

Step 1

Book your smart diagnosis

Step 2

Meet your dentist

Step 3

Get your comprehensive diagnosis

Step 4

Treatment plan and cost discussion

Step 5

Minimal Visits

Step 6

SMILE AGAIN!

Step 7

Tips and reminders from our team